Dentiste Fontainebleau : Dr Rémy ROY
Cabinet Dentaire à Fontainebleau
Dentiste Fontainebleau : Dr Rémy ROY

178 Rue Grande
77300 FONTAINEBLEAU

Cabinet Dentaire à Fontainebleau

L'orthodontie - Page 2

Traitement multi-attaches

Traitement multi-attaches

Orthodontie : idées reçues, idées revues

Orthodontie : idées reçues, idées revues

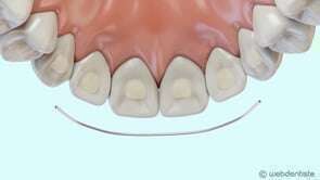
Fil de contention

Fil de contention

Conséquence de la perte des dents postérieures

Conséquence de la perte des dents postérieures

La technique invisalign® – align technology

La technique invisalign® – align technology

Invisalign® est un traitement orthodontique basé sur le port successif d’une série de gouttières transparentes.

Affichage des articles 13-17 sur 17